Equine Cardiology
Roaring Fork Equine Medical Center has a specialist on staff who offers advanced cardiac evaluation. This cardiac evaluation may include echocardiography, electrocardiogram (ECG) analysis, exercising ECG analysis, and more. Our state-of-the art ultrasounds allow for both in hospital and field echocardiography.
Let's talk about horse hearts!
Heart disease is relatively uncommon in horses. However, when it does occur, it can have a big impact.
What type of heart problems do we see in the horse?
In general, heart problems in horses are recognized as either a heart murmur or a heart arrhythmia.
Murmurs
How would you detect a heart murmur?
When listening to the horse heart, we generally hear a LUB DUB. In horses, it is not abnormal to hear all phases of the heart cycle (four heart sounds) which would sound more like ‘lub LUB DUB dub’. Hearing these “extra” beats can be normal in a horse. A heart murmur is an extra sound, like a whoosh or blowing sound, between the LUB and DUB. This sound is created by turbulent blood flow that is oftentimes due to an abnormality in one of the heart valves. There are four different valves in the horse heart – the aortic valve, pulmonic valve, mitral valve, and tricuspid valve. Heart valves help to ensure blood flows in the correct direction through the heart. There are a variety of causes that could lead to heart valve dysfunction such as degeneration, infection, a congenital abnormality, or a tear. When this occurs, blood can leak back in the wrong direction creating this turbulent flow (regurgitation) and the subsequent murmur that you can hear.
Regurgitation can be very mild with only a small amount of blood leaking in the wrong direction. In these cases, horses can often live normal lives and perform as athletes. When there is a large amount of regurgitation, the heart may become enlarged and have a hard time pumping blood. These cases can develop signs of heart failure which can include lethargy, exercise intolerance, coughing, increased heart rate and respiratory rate, edema along the belly and/or collapse. Depending on the cause, heart failure can happen rapidly or progress over a period of years.
Common causes for heart murmurs in horses include aortic regurgitation (meaning the aortic valves are the ones leaking blood), mitral regurgitation, or tricuspid regurgitation.
Aside from an abnormal heart valve, there are a couple other reasons for a heart murmur. Congenital heart abnormalities, such as a ventricular septal defect, can create heart murmurs. These problems are often detected in young horses and may carry a guarded prognosis for athletic prognosis. There are certain breeds that are at a higher risk for some of these congenital abnormalities, such as Standardbreds, Welsh Mountain Ponies, and Arabians.
Are all heart murmurs bad?
Not all heart murmurs are due to heart problems. Because the horse heart is so big, one can sometimes detect the sound of blood flowing normally through the heart. We call this a physiologic murmur. These murmurs are most often heard in very excited or very sick horses. They have a distinct character that a well-trained veterinarian can differentiate from other, more concerning, murmurs.
So what do I do if my horse has a heart murmur?
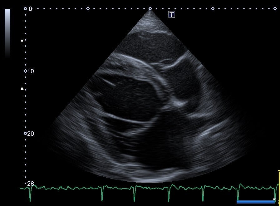
An echocardiogram, or ultrasound of the heart, is the best way to determine the cause for a heart murmur and its effects on the heart. Echocardiograms are complicated to perform and interpret. Therefore, finding a veterinarian who is specialized in equine internal medicine is ideal. Thankfully, RFEMC has an internal medicine specialist who also has advanced training in equine cardiology.
Arrhythmias
What is a normal heart rhythm?
A heartbeat is created by electrical activity that moves through the heart. The heartbeat begins at an area of special cells in the heart. These special cells are collectively called the sinus node which acts as the pacemaker of the heart. From the sinus node, the wave of electricity follows a special conduction system, creating contraction of the heart muscles in a coordinated fashion and thus, pushing blood where it needs to go. This electrical activity can be evaluated with an electrocardiogram (ECG). When this electrical activity is normal, we call this a normal sinus rhythm because it starts at the sinus node and moves it way through the heart the way it is supposed to.
You can best hear the horse heart by placing a stethoscope in the left armpit. You can also feel for a pulse at the facial artery, which is a large vessel that runs across the jaw of the horse. When listening to the horse heart, you should find that you hear beats in a predictable rhythm, meaning beats are heard at similar intervals, like the ticking of a clock. It is also important to count the heart rate per minute. A normal horse heart rate is 32 to 44 beats per minute.
What is an arrhythmia?
An arrythmia, or abnormal heart rhythm, can sometimes be detected when listening to the heart. Arrythmias can sound like beats occurring in an unpredictable fashion (like shoes in a dryer), an “early” beat, a long pause, or a rate that is too fast or too slow. To determine why you hear this abnormal rhythm, an ECG would need to be performed to more closely evaluate the electrical activity in the heart. There are also some types of arrythmias that are difficult to detect with listening alone and an ECG is necessary to know they are there.
Do horses get arrhythmias?
One of the most common arrythmias diagnosed in the horse is 2nd degree AV block. This frequently occurs in athletic, pregnant, and very relaxed horses. A 2nd degree AV block very rarely causes complications and usually goes away when the horse gets excited or starts exercising. We typically do not consider this a pathologic (problematic) arrythmia.
There are certain arrythmias that warrant evaluation by a specialist and may compromise the horse’s safety. Some of these arrhythmias include atrial fibrillation, atrial premature complexes, ventricular premature complexes, or ventricular fibrillation.
What are the common arrhythmias that occur in horses?
Atrial fibrillation (Afib) is one of the most common pathologic arrhythmias in horses and is characterized by an irregularly irregular rhythm – think shoes in a dryer. With Afib, the normal, coordinated electrical conduction through the heart is disrupted by many, continued, uncoordinated electrical impulses within the atria which results in fibrillation, or quivering, of the atria.
Afib can occur in seemingly normal horses and can sometimes go away on its own. This is referred to as paroxysmal afib. In other cases, in which the heart appears normal but the afib is sustained (won’t go away), treatment for the arrythmia might be considered. We call this lone afib. Lastly, there are some horses who experience afib due to structural changes in the heart; most notably, enlargement of the atria secondary to mitral or tricuspid regurgitation. These horses typically don’t respond well to treatment of the arrythmia.

What are the options for treatment of lone afib?
For horses with afib, treatment is aimed at converting to, or reestablishing, a normal sinus rhythm. Options for conversion include a medication called quinidine sulfate or transvenous electro cardioversion (TVEC).
For the quinidine sulfate (QS), ECG is continuously monitored as this medication is administered multiple times over the course of a day. Once a normal sinus rhythm is established, the medication is discontinued. Not all horses will convert with this method of treatment. The medication also has various side effects, some which can be dangerous to the horse. Overall, the success rate is about 80% with QS treatment. Currently, QS is difficult to obtain in the U.S. and may not be an available option for treatment.
For TVEC, special probes are placed in specific locations in the horse’s heart. Once these probes are in place, the horse is placed under general anesthesia with continuous ECG monitoring. While under general anesthesia, shocks with specific energy are applied to the probes that are in the heart. This will “shock” the heart back into a normal sinus rhythm. Overall, the success rate is >95% and has shown good results in horses who have even failed the QS treatment.
When converting with either method, there are many patient factors, such as the duration that the horse has been in afib, that can influence the ability to convert to a normal sinus rhythm as well as keeping the horse in a normal sinus rhythm. There are also some horses who may redevelop afib even after conversion. Conversion can be reattempted on these horses, but they are very likely to return to afib. Conversion is not typically attempted on horses with structural heart changes as the success rate is low.
On the horizon, researchers are investigating cardiac mapping and ablation in horses.
Can a horse live with afib?
Horses with lone afib often appear normal. Many horses can even perform low to moderate level exercise while in afib. With lone afib, exercise intolerance or poor performance can be experienced at high levels of performance, such as racing, polo, eventers, or jumpers. Some horses may even experience collapse, and, therefore, an exercising ECG should be performed in horses with afib who intend to be ridden. Horses who have afib and structural heart changes typically experience exercise intolerance and warrant close examination by a specialist before any ridden exercise is performed.
How would you know that your horse has a heart problem?
Heart murmurs and arrythmias are often detected incidentally when listening to the heart for other reasons such as a dental float. There are many occasions when heart murmurs and/or arrythmias are not causing any signs and a horse might even be routinely exercising without any evidence of a problem. In more significant cases, a horse might present with signs such as lethargy, coughing, decreased appetite, colic, poor performance, exercise intolerance, collapse, and/or edema of the legs or abdomen.
What do you do if you think your horse has a heart problem?
If you think your horse has a heart problem, you should contact your veterinarian and avoid ridden exercise until your horse is evaluated. It’s also important to ask your veterinarian to listen to your horse’s heart at routine appointments so that subtle issues can be detected.
Although some heart problems can be emergent, many can be addressed with a scheduled appointment. Heart problems that should be seen as an emergency are those that are causing an increased respiratory rate/effort, fluid coming from the nose, signs of colic, distress, and/or coughing. Please be aware that cardiac disease in horses is best addressed by a specialist in equine internal medicine. Thankfully, RFEMC has two on staff!
